Κλινικα Περισταστικα

1. Ολοκεραμική στεφάνη στον αριστερό κεντρικό άνω γνάθου

2. Μεταλλοκεραμικές στεφάνες στους δύο κεντρικούς τομείς άνω γνάθου

3. Στεφάνη πορσελάνης σε ζιρκόνιο στον δεξιό κεντρικό τομέα άνω γνάθου

4. Γέφυρα πορσελάνης σε ζιρκόνιο στη άνω πρόσθια περιοχή μετά από εξαγωγή άνω αριστερού κεντρικού τομέα

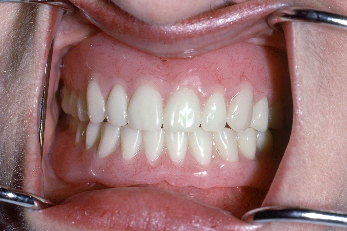
5. Ολική οδοντοστοιχία άνω και κάτω γνάθου

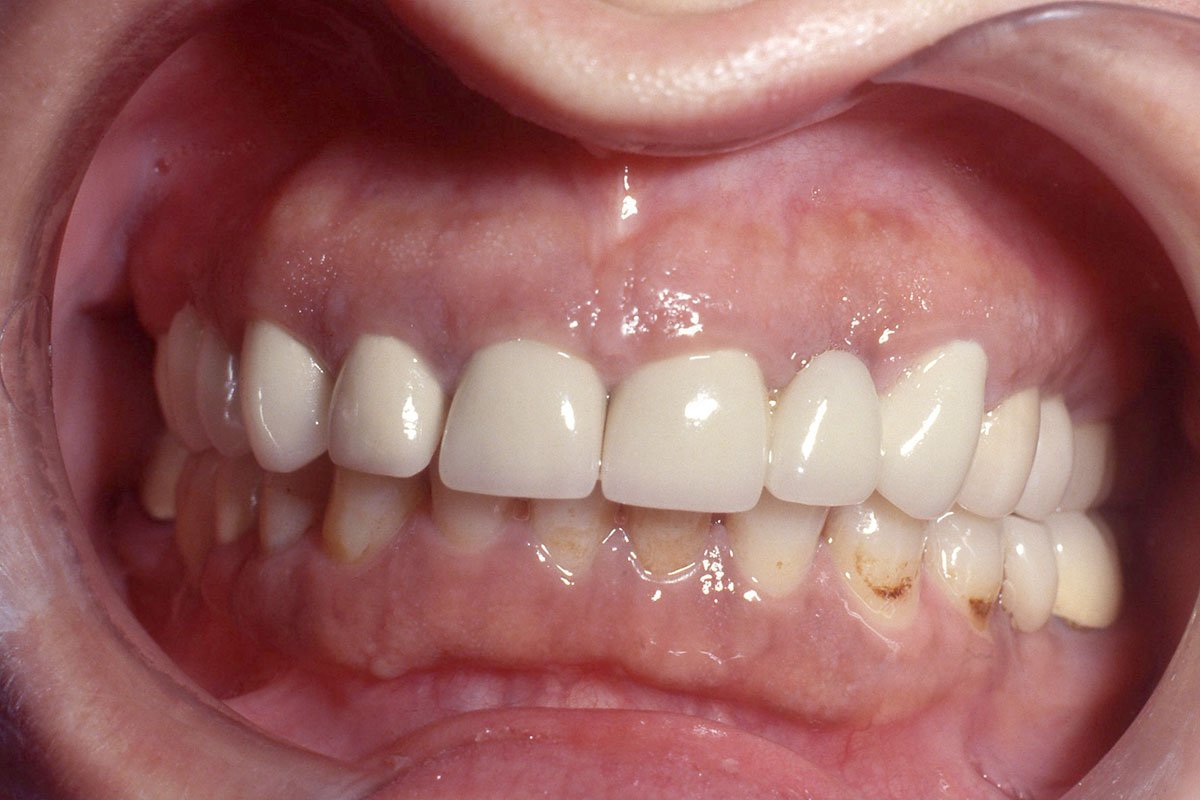
6. Αποκατάσταση άνω φραγμού με μεταλλοκεραμικές στεφάνες

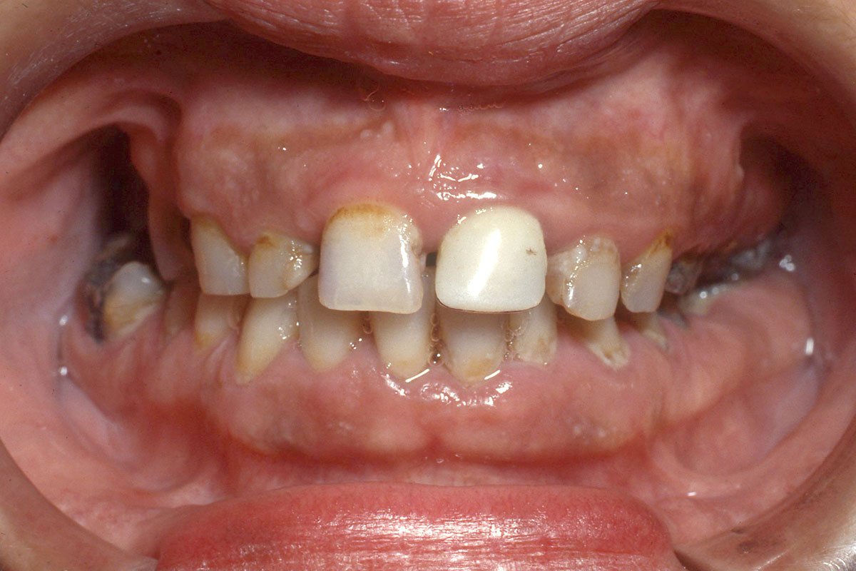
7. Αποκατάσταση άνω φραγμού με ολοκεραμικές στεφάνες

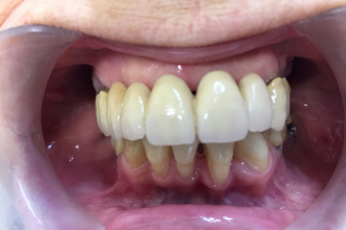
8. Αποκατάσταση άνω και κάτω φραγμού με μεταλλοκεραμικές στεφάνες, μετά από περιοδοντική και ορθοδοντική θεραπεία.
Στην τρίτη φωτογραφία, 30 χρόνια μετά.

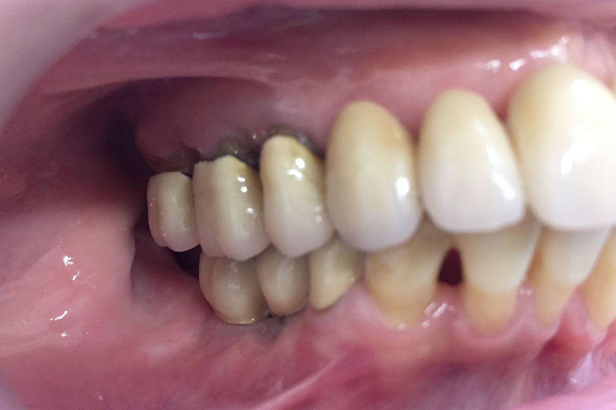
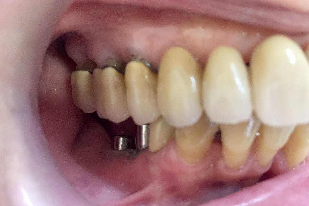
9. Στεφάνες πορσελάνης σε ζιρκόνιο επί δύο εμφυτευμάτων στην κάτω οπίσθια περιοχή

10. Στεφάνες πορσελάνης σε ζιρκόνιο επί δύο εμφυτευμάτων στην άνω οπίσθια περιοχή

11. Στεφάνη πορσελάνης σε ζιρκόνιο επί εμφυτεύματος στην περιοχή άνω αριστερού 2ου προγομφίου